La terapia celular, alternativa terapéutica para la artrosis de rodilla
23/05/2013
Expertos españoles de la Red de Terapia Celular del Instituto de Salud Carlos III (Red TerCel) han constatado que el uso de células mesenquimales autólogas -obtenidas de la médula ósea del propio paciente- en el tratamiento de la artrosis de rodilla es una alternativa válida, de fácil aplicación y ventajosa con respecto a los tratamientos convencionales.
Los resultados del estudio, que se acaban de publicar online en la revista Transplantation, explican que el tratamiento no solo mejora el dolor y la discapacidad sino también la calidad del cartílago articular en la mayoría de los casos (11 de los 12 estudiados).
Según la encuesta ArtRoCad, realizada por la Sociedad Española de Reumatología y la Sociedad Española de Médicos de Asistencia Primaria, la artrosis de rodilla tiene una prevalencia del 10 % y la de cadera del 4 %. Según el estudio ArtRoCad, el coste anual del tratamiento convencional es de unos 1.500 euros por paciente.
Por su parte, el estudio EPISER mostró que el 29 % de la población española de más de 60 años presentaba artrosis sintomática (con dolor) de rodilla. Esto significa que, en la actualidad, unos dos millones de españoles presentan esta afección.
La artrosis es la degeneración del cartílago articular, que conduce al desarrollo de fisuras y erosiones y que provoca dolor e impotencia funcional. Al cursar con inflamación, los medicamentos antiinflamatorios están indicados en el tratamiento de esta enfermedad. Además, el cartílago articular tiene una capacidad regenerativa muy limitada, por lo que los tratamientos habituales son sintomáticos.
Los autores diseñaron un estudio piloto con 12 pacientes que padecían artrosis de rodilla crónica resistente a los tratamientos convencionales, a los que inyectaron células madre mesenquimales autólogas seleccionadas y cultivadas en el Parque Científico de la Universidad de Valladolid.
Las células madre mesenquimales son células del tejido conectivo que pueden dar origen a distintos tipos celulares, segregan sustancias tróficas que estimulan el crecimiento y la diferenciación de otras células del tejido conectivo y tienen un potente efecto antiinflamatorio.
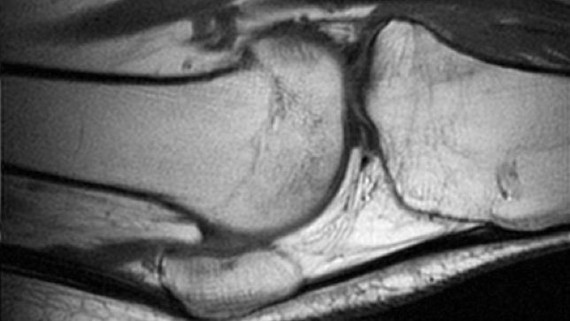
Los pacientes fueron tratados y evaluados durante un año en el Centro Médico Teknon de Barcelona, comprobándose que mostraron una rápida y significativa mejoría del dolor y la discapacidad. La eficacia media fue del 65-78 %, superior al de los tratamientos convencionales en uso.
A su vez, se demostró también una mejora de la calidad del cartílago articular (de un 27 % de media) por técnicas de resonancia magnética cuantitativa en 11 de los 12 pacientes del ensayo clínico. Esta modalidad de terapia celular utiliza el mismo tipo de células que se utilizaron con éxito para el tratamiento del dolor lumbar causado por degeneración discal en un ensayo clínico publicado por los mismos autores en el año 2011.
Fuente: ABC Salud
















